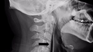
إذا كنت على وشك العطس حتى لو كنت في مكان هادئ، ينصحك الأطباء أن لا تتردد في ذلك. وعانى رجل يبلغ من العمر 34 عاماً، في بريطانيا من نتيجة هذا الأمر، إذ كان عليه أن يقضي أسبوعين في المستشفى، بسبب إصابته بكسر في الرقبة، نتيجة كتم عطسته.
ووفقاً لتقرير نُشر الاثنين، في المجلة الطبية “BMJ،” فإن الرجل شد على أنفه وأبقى فمه مغلقاً خلال العطس بقوة. وقال للأطباء في وقت لاحق، إنه شعر على الفور أن شيئاً ما قد طق في عنقه، ولم يلاحظ أي مشاكل على الفور، ولكن بعد عدة ساعات شعر بألم في الحلق والرقبة، واُصيب بعدها بتورم في الرقبة، وتغير صوته، ما جعله يذهب إلى المستشفى.
وقال الرجل الذي يبلغ من العمر 34 عاماً، إنه حاول أن يكتم عطسته، لأنه يعتقد أنه من غير الصحي أن يعطس في مكان يتواجد فيه الناس. وقالت الدكتورة واندينغ يانغ والتي تعمل في قسم الأنف والأذن والحنجرة في جامعة لستر البريطانية إن “هذا الأمر يعني أنه كان يكتم عطسته على مدى الـ30 عاماً الماضية، ولكن هذه المرة كان الأمر مختلفاً.”
وفي البداية، رأى الأطباء أن الرجل أُصيب بتورم في عنقه، وعندما قاموا بفحص الأنسجة الرخوة، أصدرت صوت فرقعة. وأوضحت يانغ أن هذا يعني أن هناك فقاعات من الهواء دخلت في عضلات الرجل إلى عمق أنسجته.
وأكد المسح الضوئي المشكلة، وأظهرت الاختبارات الشرائط الفعلية من الهواء في المنطقة خلف البلعوم وفي الرقبة الأمامية وصولاً إلى القصبة الهوائية. وبعبارة أخرى، فإنه من خلال محاولة كتم عطسته، تسبب الرجل بثقب صغير في حلقه.
وقالت يانغ “لحسن الحظ، كان ثقباً صغيراً جدا”، موضحة: “لم يكن بحاجة إلى أي عملية”.
ويُذكر، أن العطس هو ردة فعل الجسم الطبيعية للتخلص من أمر حساس في أنفك. ومن خلال العطس، فإن كمية كبيرة من ضغط الهواء تتراكم في الرئتين وتشق طريقها من خلال تجويف الأنف للتخلص من هذا العامل المهيّج.
ويتسبب العطس بدفع قطرات مخاطية بمعدل 100 ميل في الساعة. وإذا كتم الأشخاص عطستهم، فإن هذا الهواء المضغوط سينصرف في مكان ما. وفي هذه الحالة، فإنه يُصيب الأنسجة في حلق الرجل. وفي الحالات الماضية، رأى الأطباء أيضا أن كتم العطس يسبب مشاكل في الجيوب الأنفية، وفي الأذن الوسطى والداخلية، بالإضافة إلى التهابات الأذن وتمزق طبلة الأذن.
وقد أُعطي المريض المضادات الحيوية وكان لا بد من تغذيته من خلال أنبوب، تمت إزالته بعد سبعة أيام. وتحسنت أعراضه على نحو أفضل بينما كان يستريح وكان قادراً على تناول الطعام تدريجياً.
(CNN)



اترك تعليقاً