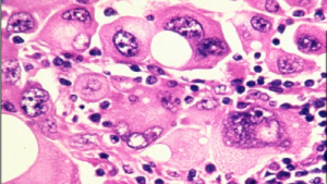
كويت نيوز: كشف فريق من العلماء عن طريقة جديدة لعلاج الميلانوما المتقدمة وهو أخطر أنواع السرطانات الجلدية التي تصيب البشر وذلك باستخدام مركب يتكون من نوعين معروفين من المحفزات المناعية.
وتشير الدراسة التي جرى الإعلان عن نتائجها في إطار اجتماعات الجمعية الأمريكية السنوية لأبحاث السرطان في الولايات المتحدة، إلى أن زهاء 25 في المئة من إجمالي حالات سرطان الجلد “المهملة” قابلة للعلاج بالطريقة الجديدة، بما يبعث الأمل بظهور علاج ناجع من هذا المرض الخطير لآلاف المرضى. وتكمن أهمية الفتح العلمي الجديد هذا، في أن داء الميلانوما يعد واحدا من أخطر أنواع سرطان الجلد التي تصيب الخلايا الصبغية المسؤولة عن لون البشرة، حيث تنتهي حوالي 75 في المئة من الإصابات بالوفاة، الأمر الذي يحمل الأطباء والخبراء على توصيف حال المصابين بهذا الداء “بورم في مراحله النهائية”.
ورغم أن المصاب بالميلانوما في مراحلها المتقدمة لا يعيش مع المرض أكثر من بضعة أشهر فقط، أظهرت الدراسة إمكانية إطالة عمر 69 في المئة من المصابين لعامين إضافيين وتمكينهم من مقاومة المرض إذا ما جرى علاجهم بمزيج من مركبي NIVOLUMAB وIPILIMUMAB، فيما كشفت الاختبارات الأولى على العقاقير المستخدمة عن تراجع حدة المرض وانحساره بالكامل.
وخلصت البحوث الطبية إلى فعالية استخدام المركبين كل على حدة في علاج الحالات الأقل خطورة من الميلانوما، فيما تستدعي الحالات المتقدمة استخدامهما معا في مزيج واحد.
يشير الدكتور جيمس لاركين، الطبيب في مستشفى مارسدين الملكي في لندن، المشارك في دراسة أخرى حول العقارين الجديدين، إلى أن “مزج الدوائين عزز من احتمالات البقاء على قيد الحياة في حالات الميلانوما المتقدمة خلال السنوات القليلة الماضية، كما تؤكد الدراسة الأخيرة أن استخدام الدوائين على شكل خليط يضمن فاعلية هجومية مضاعفة لكل منهما على الخلايا السرطانية”.
وفي نفس الوقت يحذر فريق اختصاصي دولي من أن مضاعفة جرعة المزيج تزيد من مخاطر تطور أعراض جانبية مرتبطة باستخدام الدوائين معا على شكل مزيج، الأمر الذي يحتم الوقوف على حالة المرضى كل على حدة، لتحديد مدى جدوى العلاج من خطورته على هذا المصاب أو ذاك، ما قد يساعد في توفير العلاج الأمثل لكل مريض حسب خصوصياته الجسمانية وحجم إصابته.
والبُعد الآخر لضرورة مزج الدوائين يكمن حسب الخبراء كذلك، في كلفة العلاج الباهظة، إذا ما تم العلاج بعقار واحد دون الثاني، حيث تصل كلفة علاج المصاب الواحد إلى 400 131 جنيه استرليني سنويا، ولذا يتم بحث إمكانية جمع الدوائين في عبوة أو علبة واحدة، من أجل خفض تكاليف العلاج على المرضى.
طرق جديدة للوقاية
استخدام كريمات الوقاية من الشمس بعامل الحماية SPF 30 يرجىء الإصابة بسرطان الجلد
تعرف الـ SUNSCREENS أو كريمات الوقاية من الشمس بأنها مستحضرات تحول دون إصابة الجلد بحروق شمسية جراء الأشعة فوق البنفسجية، التي تتصدر عوامل احتدام الميلانوما.
وهنا تؤكد آخر الدراسات ذات الصلة أن اللجوء لاستخدام الكريمات الواقية من الشمس ذات درجة الحماية 30 قبل التعرض للشمس مباشرة يؤخر تطور حالات سرطان الجلد.
وجرى تبيان ذلك من خلال تجربة علمية استخدمت فيها فئران مخبرية مُعدلة وراثيا، حيث ثبُت أن فعالية مستحضرات الوقاية من حروق الشمس لا تقتصر على الحماية من الحروق فحسب، بل تقي كذلك من الإصابة بأخطر أنواع سرطان الجلد (الميلانوما).
وأظهرت الدراسة أن استخدام نوع واحد فقط من المواد الداخلة في تركيب هذه المستحضرات لم يحم الفئران من تطور الميلانوما بسرعة ولم يمنع إصابتها بالأورام، إلا أنه ولدى استخدام المستحضر بتركيبته الكاملة عند نفس الفئران قبيل تعريضها لأشعة الشمس، ساعد ذلك في وقايتها من تطور الميلانوما، وغيرها من حالات السرطان ذات الصلة.



اترك تعليقاً